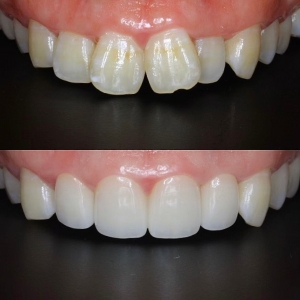
モニター募集イメージ
MONITOR

モニター治療に
ご協力ください

歯から美しくなっていく、あなたの診療ストーリーをホームページで事例として、診療の術後データの収集として紹介させてください。 モニター価格は通常価格よりお安くしておりますが、お客様にご安心いただけるよう診療は安全なものばかりに限定しております。ぜひご協力をお願いいたします。

詳細はこちら
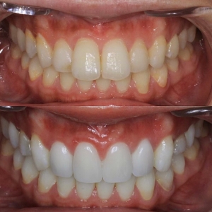
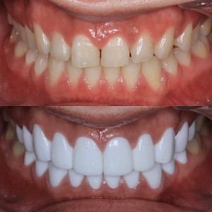
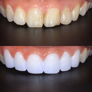
セラミックイメージ
CERAMIC
CERAMIC

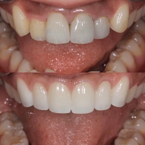
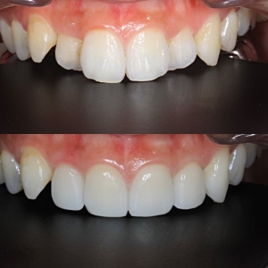
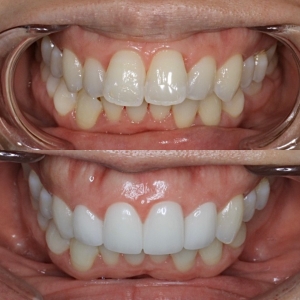
歯で魅せる人気の治療 セラミック矯正

セラミック矯正とは前歯の歯並び、色、形をセラミッククラウンを用いて美しくする方法です。 ご要望に合わせて天然歯と全く同じ色合いにもできますし、モデル、インフルエンサーの方のような白く魅せる歯にすることもできます。

セラミック矯正メニュー
FEATUERS

当院のセラミック矯正が選ばれる理由

  • チェックマークセラミック矯正専門だから安心価格で高品質
  • チェックマーク矯正は前歯に特化
  • チェックマーク豊富なセラミックのメニュー
  • チェックマーク全てのプランで歯科技工士の立合い
  • チェックマークセラミック・仮歯の修正・変更無料
  • チェックマークお客様のご要望にトコトン応える
  • ※状況に応じて費用をいただく場合もあります
  • 今井先生イメージ
    POINT1

    セラミック専門の院長が
    とことんプロデュース

    【年間およそ5,000本】のセラミック矯正をおこなっている今井院長が、お値段以上の価値ある治療をご提供。 歯の形や色まで自由自在のセラミック矯正で、コンプレックスだった歯並びが一気にチャームポイントになる施術をおこないます。

    院長について
  • 技工士イメージ
    POINT2

    トップセラミスト(歯科技工士)による
    オーダーメイド作成

    当院では、歯科技工アートセラムと提携したオーダーメイド作成を行っております。 アートセラムは、西日本でもトップクラスの歯科技工士が在籍しており、圧倒的な審美性・品質を約束してくれます。

    トップセラミストについて
  • 痛みに配慮イメージ
    POINT3

    痛みへの配慮はお任せください

    歯科麻酔は約10万人いる歯科医師から『女性自身』の「ホントに痛くない名歯科医40人」にも選出。 歯科麻酔医の資格をもった歯科医師が対応し、さらに静脈内鎮静法も導入します。「歯科恐怖症」「障害」「嘔吐反射」の方でも安心して施術を受けることができます。

    痛みへの配慮について
TREATMENT

当院の歯科治療メニュー

症例紹介イメージ
CASE

症例紹介

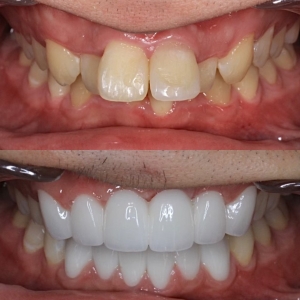
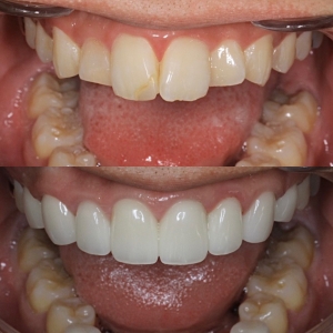
僕がこれまで治療した患者さんの中でも、いい意味でも悪い意味でも「これはヤバイ!」と感じた6症例をご紹介します。 歯の悩みは人それぞれですが、多くの場合は、適切な治療を行うことで美しい歯を手に入れることができます。 セラミック矯正治療によって美しい歯を手に入れた6症例の、いろいろ意味での「ヤバイ」にご注目ください。

ヤバイ症例・セラミック矯正 ヤバイ症例・ガミースマイル
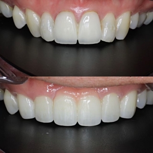
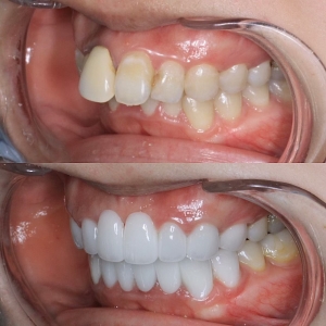
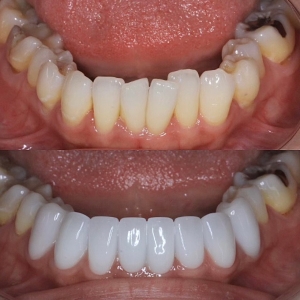
  •  上10本 今クリアートダイヤモンドセラミックの症例

    上10本 今クリアートダイヤモンドセラミック

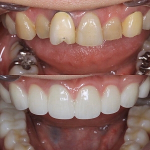
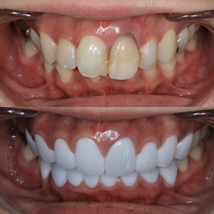
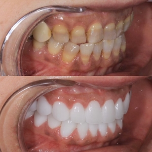
  •  上下14本 今クリアートダイヤモンドセラミックの症例

    上下14本 今クリアートダイヤモンドセラミック

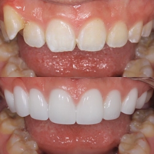
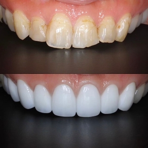
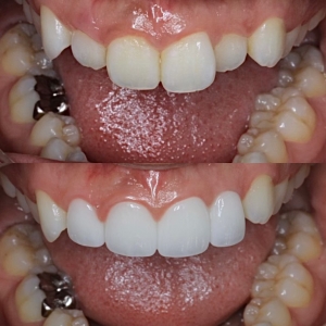
  •  上8本 今クリアートダイヤモンドセラミックの症例

    上8本 今クリアートダイヤモンドセラミック

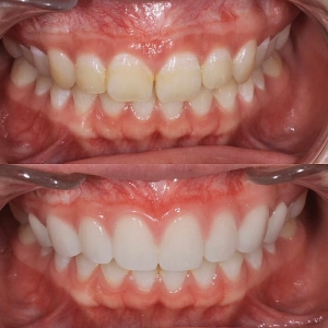
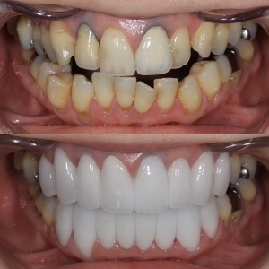
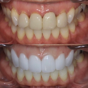
  •  上下16本 今クリアートダイヤモンドセラミックの症例

    上下16本 今クリアートダイヤモンドセラミック

  •  上下27本 今クリアートダイヤモンドセラックの症例

    上下27本 今クリアートダイヤモンドセラック

  •  上下12本 今クリアートダイヤモンドセラックの症例

    上下12本 今クリアートダイヤモンドセラック

  •  上下16本 今クリアートダイヤモンドセラックの症例

    上下16本 今クリアートダイヤモンドセラック

  • 症例説明 セラミック矯正とは前歯の歯並び、色、形をセラミッククラウンを用いて美しくする方法です。
  • リスク 疼痛・咬合時痛・冷水痛・抜歯を伴う場合は腫脹や出血などを生じる事があります。麻酔を行う場合、腫れやむくみを生じる事があります。セラミック・仮歯が欠けたり、外れる事があります。神経の治療や抜歯が必要な場合があります。また、歯並びが変わる事により違和感を生じる事があります。
  • 施術料金 99,800円~2,604,800円(税込)
当院の症例紹介
動画チャンネルイメージ
MOVIE

動画チャンネル

総動画数700本以上!わかりやすい施術の説明や症例をはじめ、今井院長の個人的な趣味でもある美容整形オペの実体験動画まで公開中。 歯の矯正について知りたい方はもちろん、ちょっとした暇つぶしにもオススメな、実用的かつエンタメ性もある今井院長のYouTubeチャンネルをぜひご視聴ください。

公式チャンネル
FAQ

よくある質問

  • 普通の矯正もしてますか?

    申し訳ありません。普通の矯正(ワイヤー矯正)はしておりません。

  • 虫歯がある場合、他院で治してからの治療になりますか?

    虫歯の治療前にお越しいただいても大丈夫です。

  • 定期健診で虫歯は治して頂けますか?

    はい。治療することは可能です。

  • 妊娠中、もしくは授乳中でも治療はできますか?

    申し訳ございません。妊娠中は治療ができません。産後3ヶ月後になれば、授乳中でも治療できます。

  • 無料カウンセリングの予約はお電話だけですか?

    お電話・公式LINE・インスタグラムDM・Web問い合わせメールで受付しております。患者さまの問い合わせやすいものでお問い合わせくださいませ。

  • DMで写真とメッセージを送ればお値段や施術などご説明してもらえますか?

    はい。インスタグラムのDM、またはWebの問い合わせメールで歯のお写真を送ってくだされば、おおよそのお値段やおすすめの施術をご紹介させていただきます。

  • カウンセリングしたその日に治療も可能なのでしょうか?

    はい。可能です。わがまま言ってください!

  • 前歯の大きさとか形などの黄金比率みたいなものはありますか?

    ございます。その方に一番お似合いになるように美しくさせていただきます。

  • 芸能人なみの綺麗さにもできますか?

    はい!できます!

今井邦彦 院長
DOCTOR

わがままを言ってください!
お値段以上の治療へ

こんにちは、院長のダイヤモンド今井です。わがままを言ってください!お値段以上の価値ある治療を行います。 お客様に喜んでもらいたい。そして私自身もその喜びを一緒に分かち合いたい。 だからこそ、美しい歯、美しい笑顔、歯から美をプロデュースするためにダイヤモンド今井デンタルクリニックを開院いたしました。 歯に関するご相談なら何なりとお申し付けくださいませ。ご納得いただけるまで精一杯努めさせていただきます! 院長 今井邦彦

経歴

  • 2007奥羽大学歯学部卒業
  • 2007奥羽大学歯学部付属病院勤務
  • 2008栃木歯科・インプラントセンター勤務
  • 2010SAI ORAL Clinic 副院長
  • 2011湘南美容歯科 統括院長
  • 2020ダイヤモンド今井クリニック開院~院長

所属

日本歯科審美学会会員