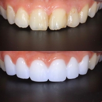
症例紹介
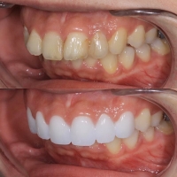
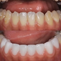
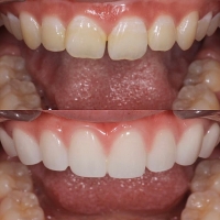
セラミック矯正
上6本 今クリアートダイヤモンドセラミック
- 治療説明 セラミック矯正とは前歯歯並び、色、形をセラミッククラウンを用いて美しくする方法です。
- リスク 疼痛・咬合時痛・冷水痛・抜歯を伴う場合は腫脹や出血などを生じる事があります。麻酔を行う場合、腫れやむくみを生じる事があります。セラミック・仮歯が欠けたり、外れる事があります。神経の治療や抜歯が必要な場合があります。また、歯並びが変わる事により違和感を生じる事があります。
- 施術料金 105,300円~3,980,000円(税込)
※必要な処置がある場合、別途費用が発生することがございます
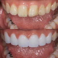
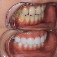
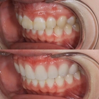
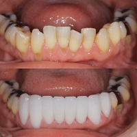
セラミック矯正
上下14本 今クリアートダイヤモンドセラミック
- 治療説明 セラミック矯正とは前歯歯並び、色、形をセラミッククラウンを用いて美しくする方法です。
- リスク 疼痛・咬合時痛・冷水痛・抜歯を伴う場合は腫脹や出血などを生じる事があります。麻酔を行う場合、腫れやむくみを生じる事があります。セラミック・仮歯が欠けたり、外れる事があります。神経の治療や抜歯が必要な場合があります。また、歯並びが変わる事により違和感を生じる事があります。
- 施術料金 105,300円~3,980,000円(税込)
※必要な処置がある場合、別途費用が発生することがございます
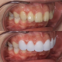
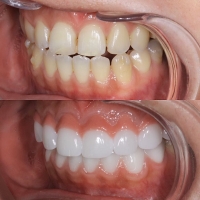
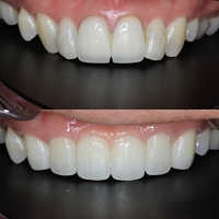
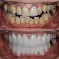
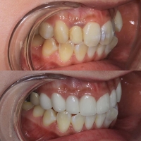
セラミック矯正
上7本 オールジルコニア
- 治療説明 セラミック矯正とは前歯歯並び、色、形をセラミッククラウンを用いて美しくする方法です。
- リスク 疼痛・咬合時痛・冷水痛・抜歯を伴う場合は腫脹や出血などを生じる事があります。麻酔を行う場合、腫れやむくみを生じる事があります。セラミック・仮歯が欠けたり、外れる事があります。神経の治療や抜歯が必要な場合があります。また、歯並びが変わる事により違和感を生じる事があります。
- 施術料金 105,300円~3,980,000円(税込)
※必要な処置がある場合、別途費用が発生することがございます
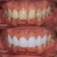
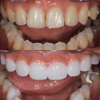
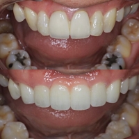
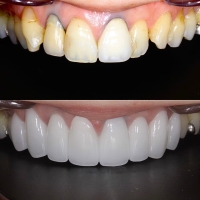
セラミック矯正
上8本 今クリアートダイヤモンドセラミック
- 治療説明 セラミック矯正とは前歯歯並び、色、形をセラミッククラウンを用いて美しくする方法です。
- リスク 疼痛・咬合時痛・冷水痛・抜歯を伴う場合は腫脹や出血などを生じる事があります。麻酔を行う場合、腫れやむくみを生じる事があります。セラミック・仮歯が欠けたり、外れる事があります。神経の治療や抜歯が必要な場合があります。また、歯並びが変わる事により違和感を生じる事があります。
- 施術料金 105,300円~3,980,000円(税込)
※必要な処置がある場合、別途費用が発生することがございます
セラミック矯正
上下16本 今クリアートダイヤモンドセラミック
- 治療説明 セラミック矯正とは前歯歯並び、色、形をセラミッククラウンを用いて美しくする方法です。
- リスク 疼痛・咬合時痛・冷水痛・抜歯を伴う場合は腫脹や出血などを生じる事があります。麻酔を行う場合、腫れやむくみを生じる事があります。セラミック・仮歯が欠けたり、外れる事があります。神経の治療や抜歯が必要な場合があります。また、歯並びが変わる事により違和感を生じる事があります。
- 施術料金 105,300円~3,980,000円(税込)
※必要な処置がある場合、別途費用が発生することがございます
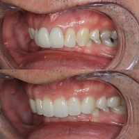
セラミック矯正
上8本 今クリアートダイヤモンドセラミック
- 治療説明 セラミック矯正とは前歯歯並び、色、形をセラミッククラウンを用いて美しくする方法です。
- リスク 疼痛・咬合時痛・冷水痛・抜歯を伴う場合は腫脹や出血などを生じる事があります。麻酔を行う場合、腫れやむくみを生じる事があります。セラミック・仮歯が欠けたり、外れる事があります。神経の治療や抜歯が必要な場合があります。また、歯並びが変わる事により違和感を生じる事があります。
- 施術料金 105,300円~3,980,000円(税込)
※必要な処置がある場合、別途費用が発生することがございます


























































































